Wellness
-
Health & Wellness
Apple Watch Series 11 Sees Significant Price Drop as Key Health Features Debut
Apple’s latest iteration of its popular smartwatch, the Apple Watch Series 11, is currently available at a reduced price of…
Read More » -
Health & Wellness
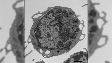
Unlocking the Secrets of Aging Blood Cells: Researchers Discover Novel Role of MLKL in Stem Cell Decline
As individuals age, the body’s intricate biological systems undergo a gradual decline, and perhaps none are as fundamental to our…
Read More » -
Health & Wellness
WHO Member States Extend Negotiations on Pathogen Access and Benefit Sharing Annex for Pandemic Agreement
Geneva, Switzerland – World Health Organization (WHO) Member States have reached a crucial consensus to extend the negotiation period for…
Read More » -
Health & Wellness
Jon Hamm’s New Suburban Thriller "Your Friends & Neighbors" Delves Deeper into Crime and Comedy as Season 2 Premieres
Jon Hamm, an actor whose name remains inextricably linked to the iconic role of Don Draper in the critically acclaimed…
Read More » -
Health & Wellness
Brazilian Researchers Engineer Supercharged Natural Killer Cells for Next-Generation Cancer Immunotherapy
Researchers in Brazil are making significant strides in the field of cancer immunotherapy, focusing on enhancing the power and precision…
Read More » -
Health & Wellness
Together for Health. Stand with Science.
The World Health Organization (WHO) has issued a powerful call to action, urging individuals and nations worldwide to recommit to…
Read More » -
Health & Wellness
One Health Summit in France Launches New Era of Global Cooperation to Combat Future Health Crises
On World Health Day, a pivotal One Health Summit convened in France, marking a significant milestone as the World Health…
Read More » -
Health & Wellness
The Best Protein Powders for Muscle Gain and Recovery
The quest for optimal muscle growth and efficient recovery is a cornerstone of athletic performance and fitness enthusiast alike. Protein,…
Read More » -
Health & Wellness
A Bacterial CARD-NLR-like Immune System Controls the Release of Gene Transfer Agents
Scientists have uncovered new details about how bacteria share genes, including those that drive antimicrobial resistance (AMR), a growing global…
Read More »
